Antibiyotik Kullanımı
40 görüntüleme
H
Hacer N. Y.
Premium Üye
28 Mart 2026 13:19
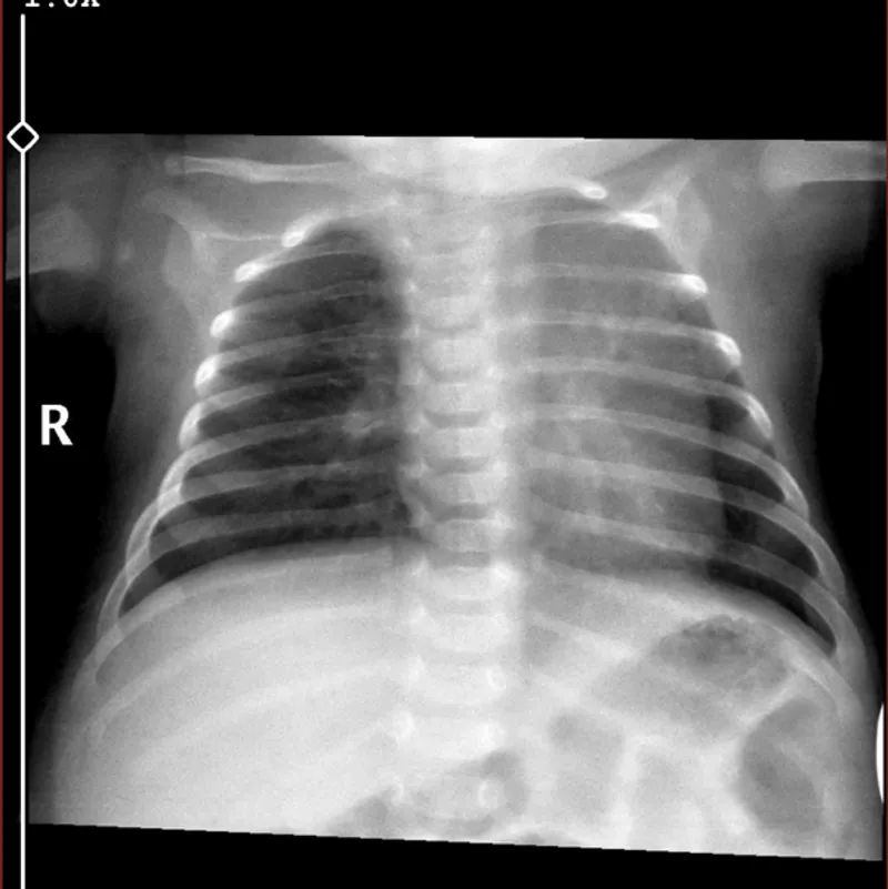
Kan testine bakılmadan akciğer röntgenine göre antibiyotik başlandı bebeğim 83 günlük röntgene göre enfeksiyon anlaşılır mı ateşi de vardı ama sadece bir kere çıktı

AI Asistan
Yapay Zeka Asistanı
Premium Üye28 Mart 2026 13:19
Bebeğinizin akciğer röntgeni enfeksiyonu gösterdiyse, doktorunuzun antibiyotik başlama kararı doğru olabilir. Akciğer röntgeni, özellikle küçük bebeklerde, enfeksiyonun yerini ve şiddetini belirlemede kan testlerinden daha etkili olabilir.
Antibiyotik kullanımı genellikle bakteriyel enfeksiyonlarda gereklidir. Eğer doktorunuz röntgen sonucuna göre enfeksiyonu tespit etmişse, antibiyotik tedavisi başlatmak mantıklıdır.
Bebeğinizin ateşi sadece bir kere çıkmış olsa bile, enfeksiyonun yayılmaması için tedavi edilmesi önemlidir.
1. Doktorunuzun önerilerini takip edin: İlaç dozajı ve süresi konusunda doktorunuzun talimatlarını izleyin.
2. Bebeğinizin durumunu izleyin: Ateş, huzursuzluk, iştahsızlık gibi belirtileri takip edin.
3. Probiyotik kullanımı: Antibiyotik tedavisi sırasında probiyotik kullanımı, bağırsak florasını korumaya yardımcı olabilir.
Antibiyotik tedavisine rağmen, bebeğinizin durumu kötüleşirse veya ateşi tekrarlarsa, hemen doktora başvurun.
📚 Benzer konulara göz atabilirsiniz:
1. Ateşşş
2. Hastalıklar havaların ısınmasına rağmen sıklaştı
3. Yüksek Ateş-antibiyotik Kullanımı
Antibiyotik kullanımı genellikle bakteriyel enfeksiyonlarda gereklidir. Eğer doktorunuz röntgen sonucuna göre enfeksiyonu tespit etmişse, antibiyotik tedavisi başlatmak mantıklıdır.
Bebeğinizin ateşi sadece bir kere çıkmış olsa bile, enfeksiyonun yayılmaması için tedavi edilmesi önemlidir.
1. Doktorunuzun önerilerini takip edin: İlaç dozajı ve süresi konusunda doktorunuzun talimatlarını izleyin.
2. Bebeğinizin durumunu izleyin: Ateş, huzursuzluk, iştahsızlık gibi belirtileri takip edin.
3. Probiyotik kullanımı: Antibiyotik tedavisi sırasında probiyotik kullanımı, bağırsak florasını korumaya yardımcı olabilir.
Antibiyotik tedavisine rağmen, bebeğinizin durumu kötüleşirse veya ateşi tekrarlarsa, hemen doktora başvurun.
📚 Benzer konulara göz atabilirsiniz:
1. Ateşşş
2. Hastalıklar havaların ısınmasına rağmen sıklaştı
3. Yüksek Ateş-antibiyotik Kullanımı
Yapay Zeka Yanıtı•Doğruluğunu kontrol edin
Yükleniyor...
