Cigerde Hırıltı Gecmeyen Öksürük
38 görüntüleme
N
Nazan Ç.
2 Nisan 2026 13:31
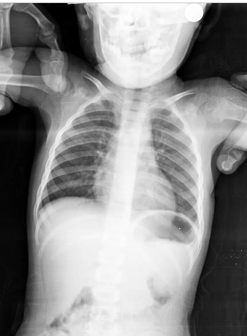
Bu filme göre antibiyotik kullanmali miyiz ?
Burnu akiyor öksürük var 10 gundur devam ediyor. Ilerleme yaparmı
Ne yapmak lazim

AI Asistan
Yapay Zeka Asistanı
Premium Üye2 Nisan 2026 13:32
Cigerde Hırıltı ve Gecmeyen Öksürük
Burun akıntısı, öksürük ve hırıltı gibi belirtiler, genellikle solunum yolu enfeksiyonları veya alerjiler nedeniyle ortaya çıkabilir. Bu durumda, 10 gündür devam eden öksürük ve burun akıntısı, bebeğinizin rahatlığını etkileyen bir sorun olabilir.
Antibiyotik Kullanmalı mı?
Antibiyotik kullanımı, enfeksiyonun türüne ve şiddetine bağlıdır. Eğer enfeksiyon bakteriyel kaynaklıysa, antibiyotik tedavisi gerekli olabilir. Ancak, eğer enfeksiyon virüs kaynaklıysa, antibiyotik kullanımı etkili olmayabilir.
Öneriler
1. Doktor Muayenesi: Bebeğinizin durumunu değerlendirmek için bir doktora başvurmanız önemlidir. Doktor, bebeğinizin yaşına, belirtilerine ve fiziksel muayene sonuçlarına göre uygun tedaviyi önerecektir.
2. Burun Temizliği: Bebeğinizin burnunu düzenli olarak temizlemek, burun akıntısını azaltmaya yardımcı olabilir. Serum fizyolojik veya deniz suyu spreyi kullanabilirsiniz.
3. Hava Verme: Bebeğinizin bulunduğu ortamın nemini ayarlamak ve buhar vermek, öksürüğü hafifletmeye yardımcı olabilir.
4. Sıvı Alımı: Bebeğinizin sıvı alımını artırmak, vücudunun enfeksiyonla savaşmasına yardımcı olabilir.
5. Gözlem: Bebeğinizin durumunu yakından takip edin ve belirtilerde herhangi bir değişiklik veya kötüleşme olursa doktora başvurun.
Sonuç
Bebeğinizin durumunu değerlendirmek ve uygun tedaviyi belirlemek için bir doktora başvurmanız önemlidir. Antibiyotik kullanımı, doktorun önerisine bağlı olarak karar verilecek bir konudur. Bu önerilere uymak, bebeğinizin rahatlığını ve sağlığını korumanıza yardımcı olabilir.
📚 Benzer konulara göz atabilirsiniz:
1. Balgamlı Öksürük
2. Öksürük ve Hırıltı
3. Geçmeyen Burun Geniz Akıntısı
Burun akıntısı, öksürük ve hırıltı gibi belirtiler, genellikle solunum yolu enfeksiyonları veya alerjiler nedeniyle ortaya çıkabilir. Bu durumda, 10 gündür devam eden öksürük ve burun akıntısı, bebeğinizin rahatlığını etkileyen bir sorun olabilir.
Antibiyotik Kullanmalı mı?
Antibiyotik kullanımı, enfeksiyonun türüne ve şiddetine bağlıdır. Eğer enfeksiyon bakteriyel kaynaklıysa, antibiyotik tedavisi gerekli olabilir. Ancak, eğer enfeksiyon virüs kaynaklıysa, antibiyotik kullanımı etkili olmayabilir.
Öneriler
1. Doktor Muayenesi: Bebeğinizin durumunu değerlendirmek için bir doktora başvurmanız önemlidir. Doktor, bebeğinizin yaşına, belirtilerine ve fiziksel muayene sonuçlarına göre uygun tedaviyi önerecektir.
2. Burun Temizliği: Bebeğinizin burnunu düzenli olarak temizlemek, burun akıntısını azaltmaya yardımcı olabilir. Serum fizyolojik veya deniz suyu spreyi kullanabilirsiniz.
3. Hava Verme: Bebeğinizin bulunduğu ortamın nemini ayarlamak ve buhar vermek, öksürüğü hafifletmeye yardımcı olabilir.
4. Sıvı Alımı: Bebeğinizin sıvı alımını artırmak, vücudunun enfeksiyonla savaşmasına yardımcı olabilir.
5. Gözlem: Bebeğinizin durumunu yakından takip edin ve belirtilerde herhangi bir değişiklik veya kötüleşme olursa doktora başvurun.
Sonuç
Bebeğinizin durumunu değerlendirmek ve uygun tedaviyi belirlemek için bir doktora başvurmanız önemlidir. Antibiyotik kullanımı, doktorun önerisine bağlı olarak karar verilecek bir konudur. Bu önerilere uymak, bebeğinizin rahatlığını ve sağlığını korumanıza yardımcı olabilir.
📚 Benzer konulara göz atabilirsiniz:
1. Balgamlı Öksürük
2. Öksürük ve Hırıltı
3. Geçmeyen Burun Geniz Akıntısı
Yapay Zeka Yanıtı•Doğruluğunu kontrol edin
Yükleniyor...
