Akciğer Filmi Balgam Rsv
118 görüntüleme
M
Merve K. ..
Premium Üye
3 Mart 2026 20:10
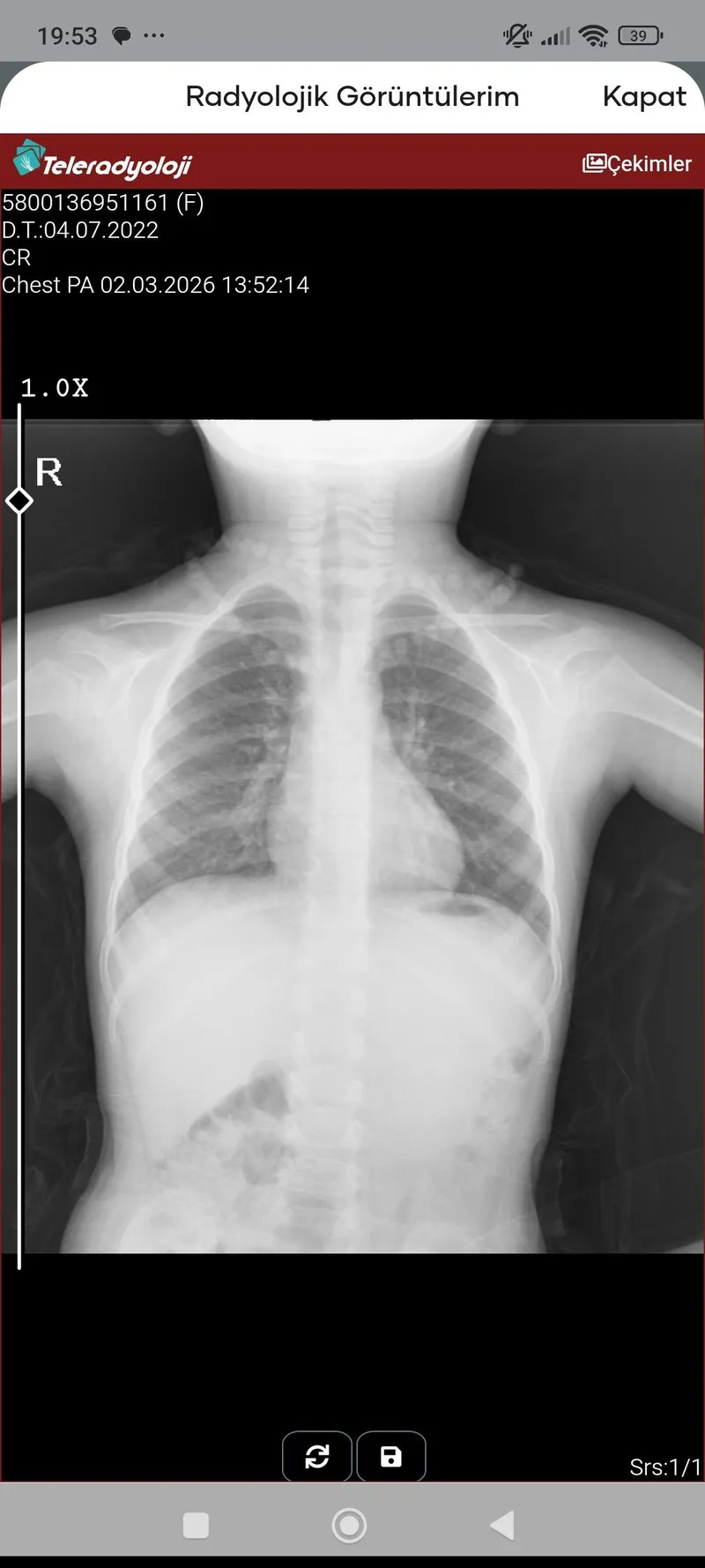
Merhaba Osman bey, pazar günü öksürük+ateş ile hastalık belirtisi başladı.( İki kere -38.6 ve 39.1 ateşlendi calpol ve dolven ile düşürdük). Pazartesi günü polikliniğe götürdük röntgen de yoğun balgam çıktı test yapılmadı ama RSV pozitif biri ile temasikiz olduğu için ventolin cortair ve klamer yazdı doktorumuzm. Aynı zamanda sizin videonuza denk geldim buharla sadece serum suyu verip masaj yapıyorum ve burnunu açıyorum. Merak ettiğim hava veya masaj sonrası gözle görülür balgam çıkışı olmuyor olması gerekir mi yoksa amaç yumuşatmak mı yanlış eksik yaptığımız birşey mi var acaba. Akciğer filmi bu şekilde.

Buse Ç.
3 Mart 2026 20:22
Merhabalar, bizimde ateş olmadı ama öksürük hırıltı ile acile götürdük. Röntgende biraz leke çıktı ama başka test yapılmadı. Klamer antibiyotik, Ventolin ve cortair nebül verildi. Osman hocamın videosu benimde kafamı karıştırdı doğrusu.
M
Merve K. ..
Premium Üye
3 Mart 2026 21:31
Evet ben de o sebeple buharları kullanmaya cesaret edemedim
Yükleniyor...
